TEMON & LAHEI BREAKS THE JUNGLE RULES
Do you remember the story of Temon and Lahei, the duo who once disappeared from Forest School?
On January 12, our Nyaru Menteng team embarked on our first rescue mission of the year to save an infant female orangutan in Pilang village, Central Kalimantan. The little girl, who we named Jacqui, was reported to have been found by local villager Edy, stranded near a primary canal located between Pilang and Tumbang Nusa villages. With this new baby in desperate need of rescue, it becomes even more apparent that the ongoing effects of the forest fires, which devastated the area in 2015, are still threatening the survival of critically endangered orangutans.
Edy claimed to have found Jacqui around midday, crouching alone without a mother. He reported his find to our team at Nyaru Menteng, and a joint-rescue team from BOSF Nyaru Menteng and the Central Kalimantan BKSDA travelled to Pilang village.Vet Lia examines Jacqui and discovers an open wound on her stomach.
 
 
Jacqui was underweight and malnourished
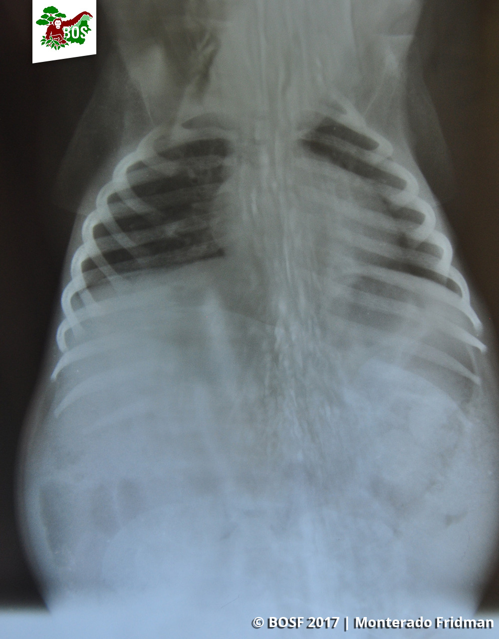
Our vet Lia Kristina, briefly treated Jacqui in Pilang before she was taken to the Nyaru Menteng orangutan rehabilitation centre for a more thorough examination and intensive care. An examination revealed that Jacqui was around 1 year old and weighed 2.6 kilograms, and X-rays showed that fortunately she had no fractures or internal injuries.

Jacqui’s X-ray
Under the care of our medical team, Jacqui’s stomach has now almost fully healed, and she recently joined the Nursery Group. Although Jacqui is a bit shy and has yet to socialise much with others, her climbing ability is noteworthy. She pays close attention to the encouragement given by babysitters, and is beginning to construct crude nests on the ground using broken twigs and leaves.

Jacqui playing in the Nyaru Menteng Nursery Group
With the addition of Jacqui, BOS Foundation’s Nyaru Menteng centre is now taking care of 17 baby orangutans. We are constantly striving to improve and maintain our facilities to support the successful rehabilitation of all orangutans and we are currently building new Baby Houses at both our Nyaru Menteng and Samboja Lestari centres, which we estimate to be completed by the end of April 2017 (Read the full story here: New Homes for Our Baby Orangutans).
It is tragic that orangutans are still being forced out of natural habitat, and that infant orangutans are still being found orphaned. We must strive to raise public awareness on the plight and conservation status of Bornean orangutans. Those who damage the forest and exploit wildlife must be held accountable under the full force of the law. Orangutans are on the brink of extinction – their future survival is in our hands. Together, we must #SaveOrangutans.